更新日: 2025年10月31日
令和7年度 二十歳(はたち)の歯科健康診査

受診期限は令和8年2月28日までです
市川市に転入された方や受診券を紛失された方は、市川市保健センター健康支援課へご連絡ください(電話:047-377-4513)
▼令和7年度受診券

対象者
平成17年4月1日から平成18年3月31日生まれの方
(市川市に住民登録のある方)
受診期限
令和7年7月1日から令和8年2月28日まで
※受診期限の延長はできません歯科医院や時期によっては、予約が取りにくい場合があります。なるべく早めに受診をしてください。
受診方法
- 指定歯科医院の一覧から歯科医院を選び予約
- 問診票を記入し、当日ご持参のうえ、受診
費用
無料検診内容
- むし歯と歯周病の検査
- 前歯のクリーニング
- パノラマ・レントゲン撮影
ご注意
- 指定歯科医院以外では受診できません
- 予約時間は守りましょう
- 問診票は必ず記入してください
- 受診後は歯科健康診査の結果票を受け取ってください
- 妊娠中の方、妊娠の可能性がある方はあらかじめ歯科医師に申し出ください
- 治療中の方は、治療終了後に受診してください
受診場所
二十歳の歯科健康診査指定歯科医院
| 堀之内・稲越・中国分・東国分・曽谷・須和田 | 市川・市川南・真間 | 新田・平田・大和田 |
| 南大野・大野町 | 菅野・東菅野・下貝塚・宮久保 | 北方・本北方・北方町・中山 |
| 八幡・南八幡 | 鬼高・高石神・原木・船橋市(本中山・山手) | 行徳地区 |
二十歳の歯科健康診査は、市川市歯科医師会に委託して実施しています。
こんなにあるの?親知らず!!
市川市二十歳の歯科健康診査 受診結果から(令和2年度)
市川市二十歳の歯科健康診査ではパノラマ・レントゲン写真で親知らずの状態やリスクの有無などをみます

二十歳の歯科健診診査票より抜粋
パノラマ・レントゲン撮影の結果、親知らずのある人は80.9%

- 【萌出】
- 親知らずが完全にはえている状態
- 【一部露出】
- 一部だけはえている状態
- 【埋伏】
- 歯肉や骨に埋まっている状態
親知らずって?

- 【親知らずとは】
- 第三大臼歯または智歯が正式名称
- 【はえる時期】
- 10代後半から20代前半が多い
- 【はえる場所】
- 前歯から数えて8番目(1番奥)

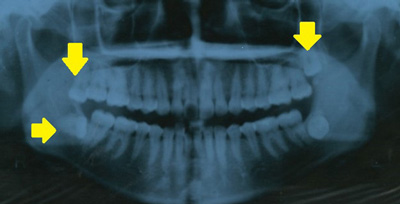
パノラマ・レントゲン写真に写っている親知らず
黄色い矢印の先
親知らずによるトラブルを予防しましょう
- 親知らずは・・・
- はえ方に個人差がある
歯ブラシが届きにくく、汚れが残りやすい
↓
むし歯や歯周病のリスクが高い・歯肉が腫れたり炎症をおこしやすい
ぜひ二十歳の歯科健康診査を受けて、歯やお口の健康を保ちましょう!
お問い合せ
ご質問・お問い合わせは
市川市保健センター健康支援課
電話:047-377-4513 までどうぞ。
このページに掲載されている
情報の問い合わせ
市川市 保健部 保健センター 健康支援課
〒272-0023
千葉県市川市南八幡4丁目18番8号
- 予防接種グループ
- 電話 047-377-4512
FAX 047-376-8831 - 健診グループ
- 電話 047-377-4513
FAX 047-376-8831 - 特定保健指導グループ
- 電話 047-377-4514
FAX 047-376-8831 - 地域保健グループ
- 電話 047-316-1036
FAX 047-376-8831