本文
令和7年度 二十歳(はたち)の歯科健康診査

お知らせ
令和7年度二十歳の歯科健康診査は終了しました。
令和8年度については詳細が決まり次第掲載します。
こんなにあるの?親知らず!!
市川市二十歳の歯科健康診査 受診結果から(令和2年度)
市川市二十歳の歯科健康診査ではパノラマ・レントゲン写真で親知らずの状態やリスクの有無などをみます
※二十歳の歯科健診診査票より抜粋
パノラマ・レントゲン撮影の結果、親知らずのある人は80.9%
【萌出】:親知らずが完全にはえている状態
【一部露出】:一部だけはえている状態
【埋伏】:歯肉や骨に埋まっている状態



●親知らずって?

【親知らずとは】:第三大臼歯または智歯が正式名称
【はえる時期】:10代後半から20代前半が多い
【はえる場所】:前歯から数えて8番目(1番奥)

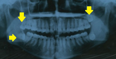
パノラマ・レントゲン写真に写っている親知らず
黄色い矢印の先
●親知らずによるトラブルを予防しましょう
親知らずは・・・はえ方に個人差がある
歯ブラシが届きにくく、汚れが残りやすい
↓
むし歯や歯周病のリスクが高い・歯肉が腫れたり炎症をおこしやすい
ぜひ二十歳の歯科健康診査を受けて、歯やお口の健康を保ちましょう!

お問い合せ
ご質問・お問い合わせは
市川市保健センター健康支援課
電話:047-377-4513 までどうぞ。





